企业:青岛海兴源生物科技有限公司
联系人:王建磊
手机:18562791097
邮箱:1325404688@qq.com
地址:山东省青岛市胶州市胶西街道办事处胶高路南,小刘家疃村水库东侧
网址 : www.qd-hisea.com
外贸部
联系人:陈经理
手机:0086-13853282556
邮箱:1737936176@qq.com
网址:http://en.qd-hisea.com/
先前介绍过海藻在小鼠肠道健康上的作用机理,近日关于海藻在水产上的研究也有了新的突破。
今年6月份葡萄牙学者以斑马鱼幼虫为模型生物,评估大型藻和微型藻类提取物对病毒和细菌病原体的抗病毒和抗菌活性,并探索其免疫调节潜力和肠道形态的影响。在建立的鱼类细胞系中,分析了两种大型藻类(墨角藻F, 石莼U)和一种微藻(微绿球藻N)的提取物的细胞毒性和抗病毒活性。

实验方法
实验配制了一种植物饲料为基础的实用饲料(对照饲料;C)和其他7种饲料(包括1%的FM50(墨角藻F)、UM50(石莼U)或NE80(微绿球藻N)提取物,两种提取物(饲粮FN、FU和NU)的混合物,以及三种提取物(饲粮FNU)(见表)
实验结果
墨角藻和石莼的提取物中饱和脂肪酸含量较高,对几种细菌具有体外抑菌作用。在体内使用墨角藻提取物获得了最理想的结果,当单独加入到饮食中发挥抗炎作用,并与其他提取物结合时诱导促炎细胞因子的表达。
此外,除了调节免疫反应外,饲料中添加海藻提取物也改善了幼虫的一般肠道形态状态,但需要更长的试验时间才能获得更一致的反应。
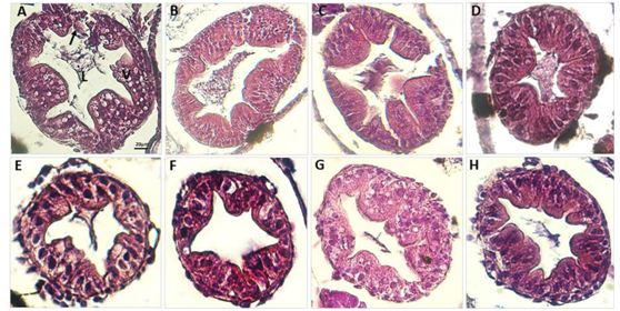
本研究将C饲料作为具有挑战性的对照, 饲喂5天后,以描述植物性饲料对斑马鱼幼虫肠道的有害影响。饲喂对照饲料的鱼发现上皮完整性偶尔受到破坏,肠上皮细胞顶端出现不同大小和形状的空泡(图A)。饲粮F组的鱼肠上皮细胞也有轻微的空泡形成,而实验组没有观察到肠上皮细胞的进一步破坏(A为对照组,B、C、D、E、F、G、H组为实验组)
综上所述
本研究结果证明了藻类作为水产养殖业生物活性化合物天然来源的潜力。对斑马鱼幼虫来说,植物性饮食可以刺激抗炎活性,而当与其他提取物结合时,它也可以促进免疫激活。此外,饲粮中添加藻类提取物可最大限度地减少植物性饲粮引起的肠道变化,这对水产饲料工业可能是非常有前途的。